柜不同于其他小花关晓彤的包包搭配也是感觉很百变不过个人还是喜欢她

相关图片

关晓彤剧内私服包包盘点!果然美女爱好一样

二十而已太会找演员了,关晓彤大牌包包多到眼花,简直是本色出演

而且关晓彤手里拿的深棕色包包价值7千多.

关晓彤真接地气穿粉色面包服配5万爱马仕包包大长腿惹人羡

二十不惑2含泪整理18款关晓彤同款包包

随机推荐

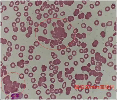
遇到红细胞冷凝集的应对措施

女生霸气头像超拽背影

李易峰|李易峰:我错了! _杨幂|吴昕

近日,又一场骂战在exo和tfboys粉丝之间进行,让人大跌破眼镜的是,骂战

如何看待吴亦凡的颜值? - 知乎

1979年,25岁的成龙,这一身肌肉简直太健壮了.

星话剧 | 翟煦飞:在事业与家庭的天平上

儿时辣条