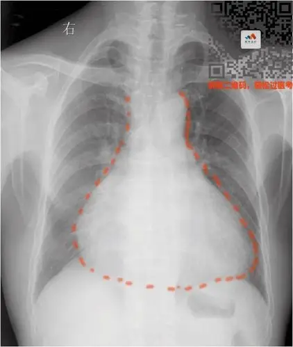
烧瓶心:患者站立位时,由于重力作用积液主要聚集在下方,从而形成烧瓶

相关图片

执业医师第三站真题上篇

要么是心脏本身增大(心包积液—烧瓶心)要么是心包里面灌了水普大型

沸腾烧瓶与心的图标在白色的背景

烧瓶心我的妈呀第一次见这么标准的

化学烧瓶心爱抽象圆圈背景平面颜色图标

随机推荐

迪丽热巴头像,女神,迪丽热巴自截调.二传注明堆糖id特宠

娃娃影后李菁你的性格里藏着你的命运

孙红雷

昆明的阴天竟然这么美!(组图)

杨紫头像.>_繁花似锦觅安宁 淡云流水渡此生.锦觅.dt倾鹤

刘耀文##刘耀文 超绝少年气

整容了吗盘点朱一龙从童年到32岁容颜变化看完视频有答案

乌克兰历任总统