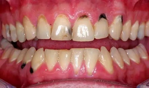
牙齿上有黑色的东西,请问是什么?(图片)

相关图片

牙齿没有光泽,牙菌斑多,看看吧

牙齿黑斑42

早晚勤刷牙可孩子牙齿还是有黑点到底怎么回事

牙齿上突然出现黑渍,刷牙弄不掉,是什么原因,是不是身体哪出毛病了?

2岁宝宝牙齿黑斑

随机推荐

tvb世纪贱男黄宗泽离巢!咁今年视帝将会系

《小舍得》原著:田雨岚考场外生下二胎,颜子悠视她为"魔咒"_妈妈

张钧甯有着迷人而优雅的身材,她不仅长期坚持健身塑身,还坚持练习瑜伽

适用苹果iphone手机电池6s/5s/7代/6plus/8 12大容量电板xr 11pro

初见发如浓墨,再见秃头秃脑,有种毁容叫人到中年,无可奈何

吴京写真电影动作明星战狼海报剧照照片咖啡馆写真

小男人遇上大女人第10集-电视剧-全集-高清正版在线观看-bilibili

安以轩独孤天下剧照