图知网
搜索
首页
热门推荐
图片分类
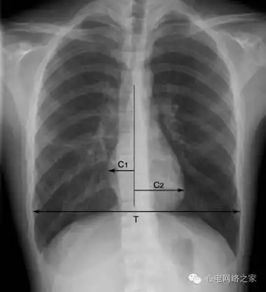
阅读x线胸片,这是一个靴形心脏的胸片.
下载原图
相关图片
普大型心梨形心靴形心的片子究竟怎么看啊丁香园
心前区隆起
shs具有特征性的x线表现,心影小而狭长,各弧度平滑,心膈间隙较宽,长轴
x线诊断 普大心
普大型心梨形心靴形心的片子究竟怎么看啊丁香园
x线诊断
为你推荐
我们对着天,对着山,许下了承诺 用照片记录下了比心的时刻!
求素描漫画图片速求动漫人物铅笔画!最好是单人的!
西装男
不规则短发发型,有风格有很时尚,喜欢短发别错过
清新可爱手绘无水印手机壁纸
广州南沙天后宫景区
小清新唯美动漫风景头像
母联柜