淋巴细胞 红细胞 血细胞 单核细胞 白细胞 血小板 中性粒细胞 嗜酸性

相关图片

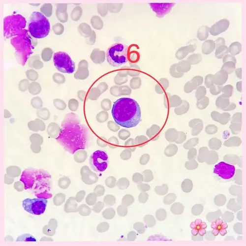
▼「中幼红细胞」形态特征:胞体呈圆形或椭圆形,胞核圆形,约占细胞的1

实验诊断学 晚幼红细胞

其它 基础细胞图片 写美篇答案:中幼红细胞 形态特征:胞体呈圆形;胞质

外周血中有核红与幼稚粒

其它 基础细胞图片 写美篇答案:早幼红细胞 形态特征:胞体呈圆形或

随机推荐

《庆余年2》李沁戏份少到变背景板!

寻找这两张情头的另一半 好喜欢这两个 .

有没有那种看起来舒服又显成熟男生用的壁纸锁屏

p>电视剧《千山暮雪》是根据小说家 a target="_blank" href="/item

贾玲-颜值爆表头像铺-话本小说网

打印版清晰汉字基本笔画表

白色超级跑车4k壁纸图片壁纸(静态壁纸) - 静态壁纸下载 - 元气壁纸

《猎狼人》剧照-800x532.87k.高清大图 -影视剧照 jz.n63.com