图知网
搜索
首页
热门推荐
图片分类
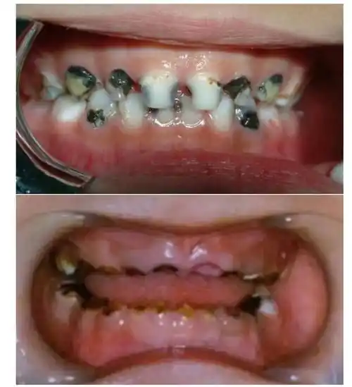
蛀牙治疗指南选择最佳治疗方法
下载原图
相关图片
小孩蛀牙怎么办(5岁儿童烂牙到底要不要补)插图
缺钙:医生说蛀牙不一定都是因为吃糖引起的,缺钙也是引起蛀牙的一个
10个孩子5个长双排牙大多是乳牙蛀牙不重视引起的
乳牙蛀牙的危害
儿童蛀牙是许多家长都非常关心的问题.
儿童蛀牙的危害到底有多大?
为你推荐
刘亦菲童年时期旧照#刘亦菲小时候真的太漂亮了,俏皮灵动,而且从蟹ⅱ
在海滩度假胜地的游泳池旁的棕榈树
情侣头像
美式圆寸
破屏碎屏效果壁纸 玫瑰不用长高,晚霞自会俯腰,爱意随风奔跑,温柔漫过
这8位大佬之妻,个个不简单|王中磊|冯小刚|王中军|陈凯歌|陈红|张艺谋
名人素描画像
2017款沃尔沃v40发动机动力怎么样