图知网
搜索
首页
热门推荐
图片分类
真人古风女生头像图源dt泛轻舟
下载原图
相关图片
古风可爱少女壁纸图片
古风真人女生头像:想把你温柔的装进兜里,与你一起享受晚间微风的温柔
儿童古风头饰女童宝宝可爱公主汉服头花发夹假发古装发饰仙女夹子 1
古风造型清冷高洁,没想到外表温婉可爱的陈瑶将这套古装造型演绎出了
古风真人女生头像有了光芒才配得上自己追逐的星星
古风真人女生头像:想把你温柔的装进兜里,与你一起享受晚间微风的温柔
为你推荐
琅琊榜
周杰伦mojito刷屏出道20年依然顶流周杰伦的意义不止是青春和回忆
男生夏季栗子头.男生夏季必备发型 干净清爽易打理 一款干净阳 - 抖音
松下panasonic通用碱性5号五号干电池24粒盒装适用于遥控器玩具话筒
头像|陈冠希头像
黄色卡通扁平面包片
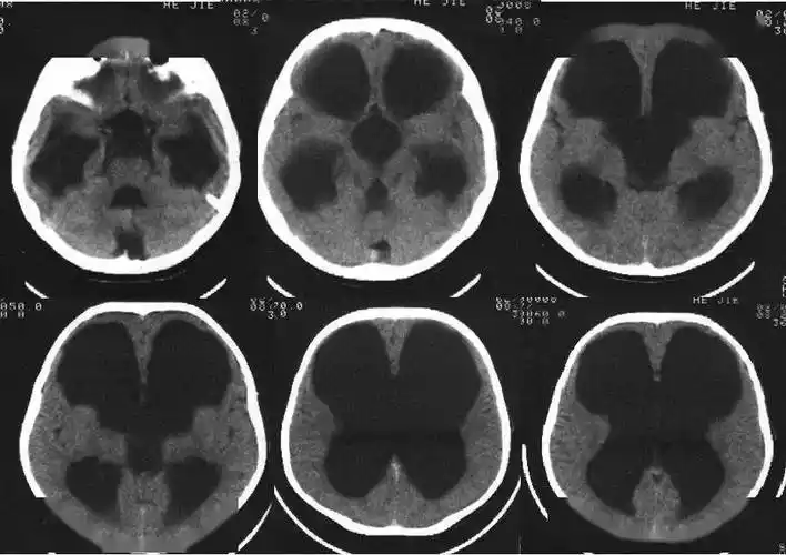
脑水肿脑积水的分类及影像表现一文归纳
微信头像背影凄凉黑白 男女黑白伤感一个人背影头像【点击鼠标右键