5大ct征象诊断脑梗死

相关图片

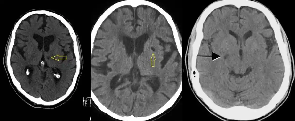
术前头颅ct可见右侧大脑中动脉血栓 aspects评分 10分

【病例讨论】大面积脑梗塞溶栓1例 [病例帖]

脑梗塞ct图

头ct平扫.jpg

"腔隙性梗死"_脑梗塞_疾病介绍_介绍 - 好大夫在线

随机推荐

杨洋| 叶修 - 堆糖,美图壁纸兴趣社区

手机壁纸丶郑爽

朱丹探班周一围,当场秀恩爱,张颂文一旁坐不住!称别太酸了

(1/6)付辛博新浪娱乐讯 江苏卫视[微博]明星跳水节目《星跳水立方》

蔡徐坤跨年终于官宣了##标签

欧豪陌生的恋人

张艺上和黄景瑜实锤恋人关系了吗张艺上整容前后照片对比真吓人

华晨宇张碧晨 #壁纸#华晨宇 - 抖音